Achnanthidium: taxon details and analytics
- Domain
- Kingdom
- Chromista
- Phylum
- Ochrophyta
- Class
- Bacillariophyceae
- Order
- Cocconeidales
- Family
- Achnanthidiaceae
- Genus
- Achnanthidium
- Species
- Scientific Name
- Achnanthidium
Summary description from Wikipedia:
Achnanthidium
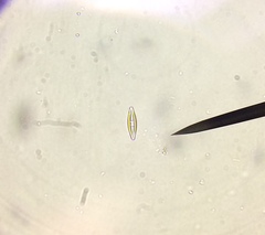
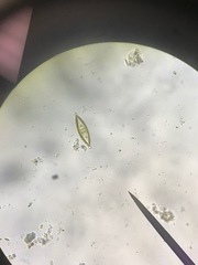
Achnanthidium is a genus of diatoms belonging to the family Achnanthidiaceae.
The genus was described in 1844 by Friedrich Traugott Kützing.
The genus has cosmopolitan distribution.
Species: (see a more complete list)
- Achnanthidium affine (Grunow) Czarnecki, 1994
- Achnanthidium agardhii (Kützing) Mereschkowsky
- Achnanthidium alpestre (R. Lowe & J.P. Kociolek) R. Lowe & J.P. Kociolek
- Achnanthidium minutissimum (Kützing) Czarnecki
Images from inaturalist.org observations:
We recommend you sign up for this excellent, free service.
Parent Taxon
Sibling Taxa
Child Taxa
- Achnanthidium affine
- Achnanthidium catenatum
- Achnanthidium coarctatum
- Achnanthidium deflexum
- Achnanthidium eutrophilum
- Achnanthidium exile
- Achnanthidium kranzii
- Achnanthidium kriegeri
- Achnanthidium laticephalum
- Achnanthidium lineare
- Achnanthidium minutissimum
- Achnanthidium minutum
- Achnanthidium nodosum
- Achnanthidium pseudoconspicuum
- Achnanthidium pusillum
- Achnanthidium pyrenaicum
- Achnanthidium rivulare
- Achnanthidium straubianum
- Achnanthidium trinode
























