Amoeba: taxon details and analytics
- Domain
- Kingdom
- Protozoa
- Phylum
- Amoebozoa
- Class
- Tubulinea
- Order
- Euamoebida
- Family
- Amoebidae
- Genus
- Amoeba
- Species
- Scientific Name
- Amoeba
Summary description from Wikipedia:
Amoeba (disambiguation)
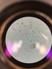
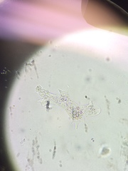
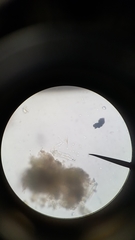
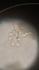
Amoeba (sometimes amœba or ameba, plural amoebae, amoebas or amebas) is a type of cell or organism which has the ability to alter its shape, primarily by extending and retracting pseudopods.
Amoeba or variants may also refer to:
...Amoeba in languages:
- Afrikaans
- Amoebas
- Afrikaans
- Amebes
- Danish
- Amøbe
- Dutch
- Amoeben
- French
- Amibes
- Swedish
- Amöbor
- Ukrainian
- Амеба
Images from inaturalist.org observations:
We recommend you sign up for this excellent, free service.





























































































































































