Amphipleura: taxon details and analytics
- Domain
- Kingdom
- Chromista
- Phylum
- Ochrophyta
- Class
- Bacillariophyceae
- Order
- Naviculales
- Family
- Amphipleuraceae
- Genus
- Amphipleura
- Species
- Scientific Name
- Amphipleura
Summary description from Wikipedia:
Amphipleura
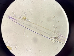
Amphipleura is a genus of diatoms belonging to the family Amphipleuraceae.
The genus was first described by Friedrich Traugott Kützing in 1844.
The genus has cosmopolitan distribution.
A newly discovered species, Amphipleura vavilovii, was found to be present in rivers of Laos.
Species:
- Amphipleura pellucida
- Amphipleura rutilans
- Amphipleura vavilovii
Images from inaturalist.org observations:
We recommend you sign up for this excellent, free service.








