Arcellinida: taxon details and analytics
- Domain
- Kingdom
- Protozoa
- Phylum
- Amoebozoa
- Class
- Tubulinea
- Order
- Arcellinida
- Family
- Genus
- Species
- Scientific Name
- Arcellinida
Summary description from Wikipedia:
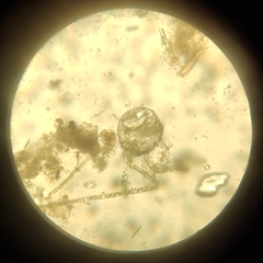
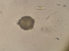
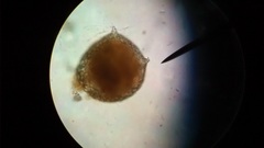
Arcellinida
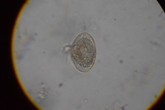
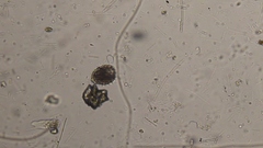
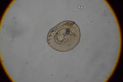
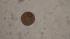
Arcellinid testate amoebae or Arcellinida, Arcellacean or lobose testate amoebae are single-celled protists partially enclosed in a simple test (shell).
Arcellinid testate amoebae are commonly found in soils, leaf litter, peat bogs and near/in fresh water. They use their pseudopodia, a temporary cell extension, for moving and taking in food. Like most amoebae, they are generally believed to reproduce asexually via binary fission. However a recent review suggests that sexual recombination may be the rule rather than the exception in amoeboid protists in general, including the Arcellinid testate amoebae.
...Arcellinida in languages:
- Czech
- krytenky
Images from inaturalist.org observations:
We recommend you sign up for this excellent, free service.



























































































































































