Asterionellopsis: taxon details and analytics
- Domain
- Kingdom
- Chromista
- Phylum
- Ochrophyta
- Class
- Bacillariophyceae
- Order
- Rhaphoneidales
- Family
- Asterionellopsidaceae
- Genus
- Asterionellopsis
- Species
- Scientific Name
- Asterionellopsis
Summary description from Wikipedia:
Asterionellopsis
Asterionellopsis is a genus of diatoms belonging to the family Asterionellopsidaceae.
Species:
- Asterionellopsis glacialis (Castracane) Round
- Asterionellopsis guyunusae Luddington
- Asterionellopsis kariana (Grunow) Round
- Asterionellopsis lenisilicea L.Mather
- Asterionellopsis maritima F.Muise
- Asterionellopsis socialis (J.C.Lewin & R.E.Norris) R.M.Crawford & C.Gardner
- Asterionellopsis thurstonii J.M.Ehrman
- Asterionellopsis tropicalis A.O.R.Franco
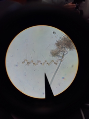
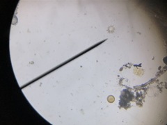
Images from inaturalist.org observations:
We recommend you sign up for this excellent, free service.


































