Brachionus calyciflorus: taxon details and analytics
- Domain
- Kingdom
- Animalia
- Phylum
- Rotifera
- Class
- Eurotatoria
- Order
- Ploima
- Family
- Brachionidae
- Genus
- Brachionus
- Species
- Brachionus calyciflorus
- Scientific Name
- Brachionus calyciflorus
Summary description from Wikipedia:
Brachionus calyciflorus
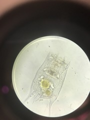
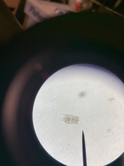
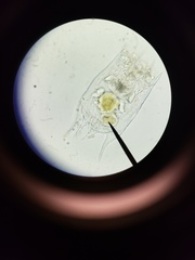
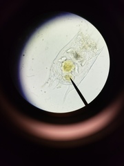
Brachionus calyciflorus is a planktonic species of rotifer occurring in freshwater. It is commonly used as a model organism in toxicology, ecology and evolutionary biology. Its advantages include the small size and short generation time (average generation time of B. calyciflorus is around 2.2 days at 24 °C).
...Brachionus calyciflorus in languages:
- English
- Box-like Rotifer
Images from inaturalist.org observations:
We recommend you sign up for this excellent, free service.
Parent Taxon
Sibling Taxa
- Brachionus angularis
- Brachionus bidentatus
- Brachionus calyciflorus
- Brachionus caudatus
- Brachionus dimidiatus
- Brachionus diversicornis
- Brachionus donneri
- Brachionus forficula
- Brachionus havanaensis
- Brachionus leydigi
- Brachionus mirus
- Brachionus plicatilis
- Brachionus quadridentatus
- Brachionus rotundiformis
- Brachionus rubens
- Brachionus urceolaris
- Brachionus variabilis





















