Ciliophora: taxon details and analytics
- Domain
- Kingdom
- Chromista
- Phylum
- Ciliophora
- Class
- Order
- Family
- Genus
- Species
- Scientific Name
- Ciliophora
Summary description from Wikipedia:
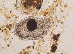
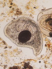
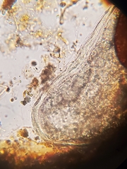
Ciliate
The ciliates are a group of alveolates characterized by the presence of hair-like organelles called cilia, which are identical in structure to eukaryotic flagella, but are in general shorter and present in much larger numbers, with a different undulating pattern than flagella. Cilia occur in all members of the group (although the peculiar Suctoria only have them for part of their life cycle) and are variously used in swimming, crawling, attachment, feeding, and sensation.
Ciliates are an important group of protists, common almost anywhere there is water—in lakes, ponds, oceans, rivers, and soils, including anoxic and oxygen-depleted habitats. About 4,500 unique free-living species have been described, and the potential number of extant species is estimated at 27,000–40,000. Included in this number are many ectosymbiotic and endosymbiotic species, as well as some obligate and opportunistic parasites. Ciliate species range in size from as little as 10 μm in some colpodeans to as much as 4 mm in length in some geleiids, and include some of the most morphologically complex protozoans.
In most systems of taxonomy, "Ciliophora" is ranked as a phylum under any of several kingdoms, including Chromista, Protista or Protozoa. In some older systems of classification, such as the influential taxonomic works of Alfred Kahl, ciliated protozoa are placed within the class "Ciliata" (a term which can also refer to a genus of fish). In the taxonomic scheme endorsed by the International Society of Protistologists, which eliminates formal rank designations such as "phylum" and "class", "Ciliophora" is an unranked taxon within Alveolata.
...Ciliophora in languages:
- Czech
- nálevníci
- Danish
- Ciliater
- Dutch
- trilhaardiertjes
- English
- Ciliates
- English
- Ciliate Organisms
- Japanese
- 繊毛虫門
- Korean
- 섬모충문
- Latvian
- Infuzorijas
- Polish
- Orzęski
- Russian
- Инфузории
- Swedish
- ciliater
- Ukrainian
- Війчасті
- Ukrainian
- Інфузорії
Images from inaturalist.org observations:
We recommend you sign up for this excellent, free service.































































































































































