Dinobryon: taxon details and analytics
- Domain
- Kingdom
- Chromista
- Phylum
- Ochrophyta
- Class
- Chrysophyceae
- Order
- Chromulinales
- Family
- Dinobryaceae
- Genus
- Dinobryon
- Species
- Scientific Name
- Dinobryon
Summary description from Wikipedia:
Dinobryon
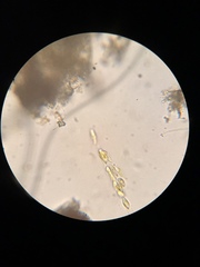
Dinobryon is a type of microscopic algae. It is one of the 22 genera in the family Dinobryaceae. Dinobryon are mixotrophs, capable of obtaining energy and carbon through photosynthesis and phagotrophy of bacteria. The genus comprises at least 37 described species. The best-known species are D. cylindricum and D. divergens, which come to the attention of humans annually due to transient blooms in the photic zone of temperate lakes and ponds. Such blooms may produce volatile organic compounds (VOCs) that produce odors and affect water quality.
Dinobryon can exist as free-living, solitary cells or in branching colonies.
...Dinobryon in languages:
- Japanese
- サヤツナギ属
- Swedish
- strutgull
Images from inaturalist.org observations:
We recommend you sign up for this excellent, free service.
Parent Taxon
Child Taxa
- Dinobryon acuminatum
- Dinobryon balticum
- Dinobryon bavaricum
- Dinobryon caliciforme
- Dinobryon campanulostipitum
- Dinobryon crenulatum
- Dinobryon cylindricum
- Dinobryon divergens
- Dinobryon faculiferum
- Dinobryon marchicum
- Dinobryon pediforme
- Dinobryon protuberans
- Dinobryon sertularia
- Dinobryon sociale
- Dinobryon stipitatum
- Dinobryon suecicum
- Dinobryon unguentariforme































































































































































