Euchlanis: taxon details and analytics
- Domain
- Kingdom
- Animalia
- Phylum
- Rotifera
- Class
- Eurotatoria
- Order
- Ploima
- Family
- Euchlanidae
- Genus
- Euchlanis
- Species
- Scientific Name
- Euchlanis
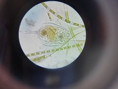
Summary description from Wikipedia:
Euchlanis
Euchlanis is a genus of rotifers belonging to the family Euchlanidae.
Sometimes alternatively referred to as wheel animalcules, rotifers feature a characteristic circular arrangement of cilia at their front ends that is reminiscent of a turning wheel when they are in motion. The genus has a cosmopolitan distribution.
...Images from inaturalist.org observations:
We recommend you sign up for this excellent, free service.






































































