Frontonia: taxon details and analytics
- Domain
- Kingdom
- Chromista
- Phylum
- Ciliophora
- Class
- Oligohymenophorea
- Order
- Peniculida
- Family
- Frontoniidae
- Genus
- Frontonia
- Species
- Scientific Name
- Frontonia
Summary description from Wikipedia:
Frontonia
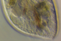
Frontonia is a genus of free-living unicellular ciliate protists, belonging to the order Peniculida. As Peniculids, the Frontonia are closely related to members of the genus Paramecium. However, whereas Paramecia are mainly bacterivores, Frontonia are capable of ingesting large prey such as diatoms, filamentous algae, testate amoebas, and even, in some circumstances, members of their own species. In bacteria-rich saprobic conditions, Frontonia leucas can live as a facultative bacterivore.
Frontonia are widely dispersed, and members of the genus can be found in marine and freshwater environments on every continent.
...Images from inaturalist.org observations:
We recommend you sign up for this excellent, free service.































































































































































