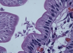
Giardia lamblia: taxon details and analytics
- Domain
- Kingdom
- Protozoa
- Phylum
- Sarcomastigophora
- Class
- Zoomastigophora
- Order
- Diplomonadida
- Family
- Hexamitidae
- Genus
- Giardia
- Species
- Giardia lamblia
- Scientific Name
- Giardia lamblia
Giardia lamblia in languages:
- Czech
- lamblia střevní
Images from inaturalist.org observations:
We recommend you sign up for this excellent, free service.












