Gyrosigma: taxon details and analytics
- Domain
- Kingdom
- Chromista
- Phylum
- Ochrophyta
- Class
- Bacillariophyceae
- Order
- Naviculales
- Family
- Naviculaceae
- Genus
- Gyrosigma
- Species
- Scientific Name
- Gyrosigma
Summary description from Wikipedia:
Gyrosigma
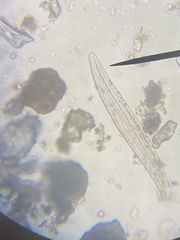
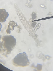
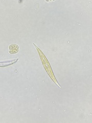
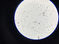
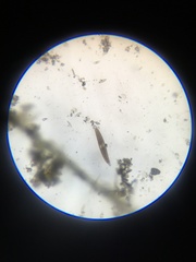
Gyrosigma is a genus of diatoms belonging to the family Pleurosigmataceae.
The genus has a cosmopolitan distribution.
Like other diatoms, Gyrosigma has a siliceous cell wall called a frustule. The frustule is composed of two sections called valves, with one valve fitting inside the other valve similar to the two halves of a Petri dish. Gyrosigma has valves with a central slit called a raphe, a structure that allows movement of these diatoms.
The valves of Gyrosigma are sigmoid in outline, as well as the raphe. Striations could be parallel or perpendicular to the raphe. This contrasts to a similar genus Pleurosigma, which has striations that lie diagonally to the raphe.
...Gyrosigma in languages:
- Chinese
- 布紋藻屬
Images from inaturalist.org observations:
We recommend you sign up for this excellent, free service.
Parent Taxon
Sibling Taxa
Child Taxa
- Gyrosigma acuminatum
- Gyrosigma attenuatum
- Gyrosigma balticum
- Gyrosigma distortum
- Gyrosigma exile
- Gyrosigma eximium
- Gyrosigma fasciola
- Gyrosigma hummii
- Gyrosigma kuetzingii
- Gyrosigma macrum
- Gyrosigma obscurum
- Gyrosigma obtusatum
- Gyrosigma peisone
- Gyrosigma peisonis
- Gyrosigma reversum
- Gyrosigma scalproides
- Gyrosigma scalprum
- Gyrosigma sciotoense
- Gyrosigma strigilis
- Gyrosigma subsalsum
- Gyrosigma tenuissimum
- Gyrosigma terryanum
- Gyrosigma variistriatum
- Gyrosigma wansbeckii
- Gyrosigma wormleyi






























































































































































