Hypotrichia: taxon details and analytics
- Domain
- Kingdom
- Chromista
- Phylum
- Ciliophora
- Class
- Spirotrichea
- Order
- Family
- Genus
- Species
- Scientific Name
- Hypotrichia
Summary description from Wikipedia:
Hypotrich
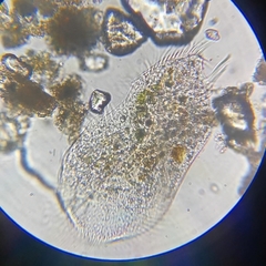
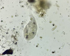
The hypotrichs are a group of ciliated protozoa, common in fresh water, salt water, soil and moss. Hypotrichs possess compound ciliary organelles called "cirri," which are made up of thick tufts of cilia, sparsely distributed on the ventral surface of the cell. The multiple fused cilia which form a cirrus function together as a unit, enabling the organism to crawl along solid substrates such as submerged debris or sediments. Hypotrichs typically possess a large oral aperture, bordered on one side by a wreath or collar of membranelles (small membranous structures made up of fused cilia), forming an "adoral zone of membranelles," or AZM.
...Hypotrichia in languages:
- English
- Hypotrich
- English
- Hypotrichs
- French
- Hypotriches
- Japanese
- 下毛亜綱
Images from inaturalist.org observations:
We recommend you sign up for this excellent, free service.































































































































































