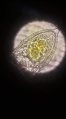
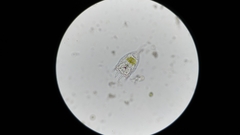
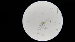
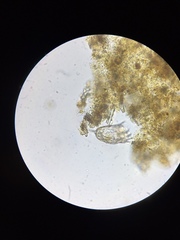
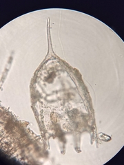
Keratella: taxon details and analytics
- Domain
- Kingdom
- Animalia
- Phylum
- Rotifera
- Class
- Eurotatoria
- Order
- Ploima
- Family
- Brachionidae
- Genus
- Keratella
- Species
- Scientific Name
- Keratella
Summary description from Wikipedia:
Keratella
Keratella is a genus of Brachionidae.
The genus was described in 1822 by Jean Baptiste Bory de Saint-Vincent.
It has cosmopolitan distribution.
Species:
- Keratella cochlearis
- Keratella hiemalis
- Keratella quadrata
Keratella in languages:
- Japanese
- カメノコウワムシ属
- Korean
- 거북등윤충속
Images from inaturalist.org observations:
We recommend you sign up for this excellent, free service.































































































































































