Lecane quadridentata: taxon details and analytics
- Domain
- Kingdom
- Animalia
- Phylum
- Rotifera
- Class
- Eurotatoria
- Order
- Ploima
- Family
- Lecanidae
- Genus
- Lecane
- Species
- Lecane quadridentata
- Scientific Name
- Lecane quadridentata
Summary description from Wikipedia:
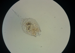
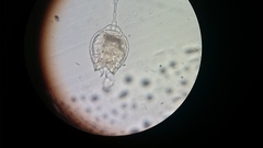
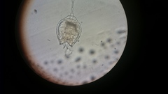
Lecane quadridentata
Lecane quadridentata is een raderdiertjessoort uit de familie Lecanidae. De wetenschappelijke naam van deze soort is voor het eerst geldig gepubliceerd in 1830 door Ehrenberg.
...Images from inaturalist.org observations:
We recommend you sign up for this excellent, free service.
Parent Taxon
Sibling Taxa
- Lecane aculeata
- Lecane arcuata
- Lecane arcula
- Lecane bulla
- Lecane closterocerca
- Lecane cornuta
- Lecane crepida
- Lecane curvicornis
- Lecane decipiens
- Lecane elegans
- Lecane elsa
- Lecane flexilis
- Lecane furcata
- Lecane grandis
- Lecane hamata
- Lecane hastata
- Lecane imbricata
- Lecane inermis
- Lecane lamellata
- Lecane latissima
- Lecane ludwigii
- Lecane luna
- Lecane lunaris
- Lecane nana
- Lecane obtusa
- Lecane papuana
- Lecane plesia
- Lecane punctata
- Lecane pyriformis
- Lecane quadridentata
- Lecane robertsonae
- Lecane satyrus
- Lecane stenroosi
- Lecane stichaea
- Lecane stokesii
- Lecane tenuiseta
- Lecane undulata
- Lecane ungulata
















