Melosira: taxon details and analytics
- Domain
- Kingdom
- Chromista
- Phylum
- Ochrophyta
- Class
- Bacillariophyceae
- Order
- Melosirales
- Family
- Melosiraceae
- Genus
- Melosira
- Species
- Scientific Name
- Melosira
Summary description from Wikipedia:
Melosira
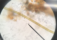
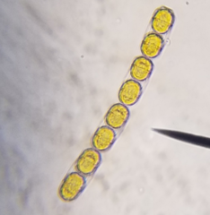
Melosira is a genus of diatoms belonging to the family Melosiraceae.
The genus has cosmopolitan distribution, and inhabits both freshwater and marine habitats.
Melosira is considered as meroplankton, as they remain free-floating like planktons for a certain stage in their life cycle.
...Melosira in languages:
- Russian
- Мелозира
Images from inaturalist.org observations:
We recommend you sign up for this excellent, free service.






























































































































































