Micrasterias: taxon details and analytics
- Domain
- Kingdom
- Plantae
- Phylum
- Charophyta
- Class
- Conjugatophyceae
- Order
- Zygnematales
- Family
- Desmidiaceae
- Genus
- Micrasterias
- Species
- Scientific Name
- Micrasterias
Summary description from Wikipedia:
Micrasterias
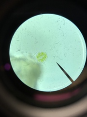
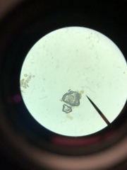
Micrasterias is a unicellular green alga of the order Desmidiales. Its species vary in size reaching up to hundreds of microns.
Micrasterias displays a bilateral symmetry, with two mirror image semi-cells joined by a narrow isthmus containing the nucleus of the organism. This dual semi-cell structure is unique to the group of green algae to which Micrasterias belongs. Each semi-cell contains a single large chloroplast, the site of photosynthesis for Micrasterias. Chloroplasts within Micrasterias contain chlorophyll a and chlorophyll b and the enzymes required for photosynthesis. The sugar created is used to provide energy for the organism or, if not used, taken up by many small round pyrenoids which are embedded in the chloroplast. They convert the sugar to a starch for storage.
Micrasterias can produce both asexually and sexually. Asexual reproduction occurs via mitosis. When this occurs the genetic material of Micrasterias is duplicated and two small semi-cells grow between the original semi-cells, gradually increasing in size. Sexual reproduction occurs through a process called conjugation whereby two organisms come together and fuse their haploid cells to form a diploid zygote. This zygote typically forms a thick protective wall which can allow the organism to remain dormant for many months to survive cold winters and long droughts. When adequate conditions resume, the zygospore will germinate, undergo meiosis, and produce new haploid algal cells.
...Micrasterias in languages:
- Japanese
- アワセオオギ属
- Japanese
- ミクラステリアス属
- Swedish
- stjärnalger
Images from inaturalist.org observations:
We recommend you sign up for this excellent, free service.
Parent Taxon
Sibling Taxa
- Actinotaenium
- Arthrodesmus
- Bambusina
- Cosmarium
- Cosmocladium
- Desmidium
- Docidium
- Euastrum
- Groenbladia
- Haplotaenium
- Heimansia
- Hyalotheca
- Micrasterias
- Octacanthium
- Onychonema
- Oocardium
- Phycastrum
- Phymatodocis
- Pleurotaenium
- Raphidiastrum
- Sphaerozosma
- Spinocosmarium
- Spondylosium
- Staurastrum
- Staurodesmus
- Teilingia
- Tetmemorus
- Triploceras
- Xanthidium
Child Taxa
- Micrasterias abrupta
- Micrasterias americana
- Micrasterias apiculata
- Micrasterias arcuata
- Micrasterias borgei
- Micrasterias bourrellyana
- Micrasterias brachyptera
- Micrasterias compereana
- Micrasterias conferta
- Micrasterias crux-melitensis
- Micrasterias decemdentata
- Micrasterias denticulata
- Micrasterias depauperata
- Micrasterias dichotoma
- Micrasterias fimbriata
- Micrasterias floridensis
- Micrasterias foliacea
- Micrasterias furcata
- Micrasterias hardyi
- Micrasterias hieronymusii
- Micrasterias jenneri
- Micrasterias laticeps
- Micrasterias mahabuleshwarensis
- Micrasterias muricata
- Micrasterias nordstedtiana
- Micrasterias novae-terrae
- Micrasterias oscitans
- Micrasterias papillifera
- Micrasterias pinnatifida
- Micrasterias quadridentata
- Micrasterias radians
- Micrasterias radiosa
- Micrasterias rotata
- Micrasterias thomasiana
- Micrasterias torreyi
- Micrasterias truncata































































































































































