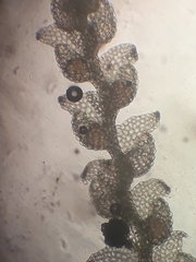
Microlejeunea latitans: taxon details and analytics
- Domain
- Kingdom
- Plantae
- Phylum
- Marchantiophyta
- Class
- Jungermanniopsida
- Order
- Porellales
- Family
- Lejeuneaceae
- Genus
- Microlejeunea
- Species
- Microlejeunea latitans
- Scientific Name
- Microlejeunea latitans
Images from inaturalist.org observations:
We recommend you sign up for this excellent, free service.













