Mytilina: taxon details and analytics
- Domain
- Kingdom
- Animalia
- Phylum
- Rotifera
- Class
- Eurotatoria
- Order
- Ploima
- Family
- Mytilinidae
- Genus
- Mytilina
- Species
- Scientific Name
- Mytilina
Summary description from Wikipedia:
Mytilina
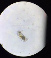
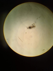
Mytilina is a genus of rotifers belonging to the family Mytilinidae.
The genus has almost cosmopolitan distribution.
Species:
- Mytilina acanthophora Hauer, 1938
- Mytilina bicarinata (Perty, 1850)
- Mytilina bisulcata (Lucks, 1912)
- Mytilina carpatica Varga, 1962
- Mytilina compressa (Gosse, 1851)
- Mytilina crassipes (Lucks, 1912)
- Mytilina lobata Pourriot, 1996
- Mytilina macrocera (Jennings, 1894)
- Mytilina macrocerca (Jennings, 1894)
- Mytilina michelangellii Reid & Turner, 1988
- Mytilina mucronata (Müller, 1773)
- Mytilina mutica (Perty, 1849)
- Mytilina trigona (Gosse, 1851)
- Mytilina unguipes (Lucks, 1912)
- Mytilina ventralis (Ehrenberg, 1830)
- Mytilina videns (Levander, 1894)
- Mytilina wangi Luo & Segers, 2014
Images from inaturalist.org observations:
We recommend you sign up for this excellent, free service.







































