Nitzschia: taxon details and analytics
- Domain
- Kingdom
- Chromista
- Phylum
- Ochrophyta
- Class
- Bacillariophyceae
- Order
- Bacillariales
- Family
- Bacillariaceae
- Genus
- Nitzschia
- Species
- Scientific Name
- Nitzschia
Summary description from Wikipedia:
Nitzschia
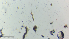
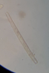
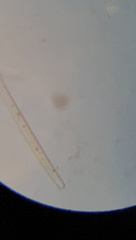
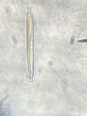
Nitzschia is a common pennate marine and freshwater diatom. In the scientific literature, this genus, named after Christian Ludwig Nitzsch, is sometimes referred to incorrectly as Nitzchia, and it has many species described, which all have a similar morphology. In its current circumscription, Nitzschia is paraphyletic.
...Nitzschia in languages:
- Korean
- 등침돌말속
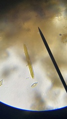
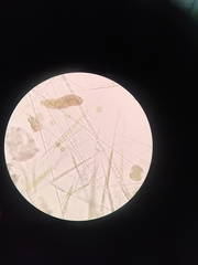
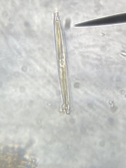
Images from inaturalist.org observations:
We recommend you sign up for this excellent, free service.
Parent Taxon
Sibling Taxa
Child Taxa
- Nitzschia acicularis
- Nitzschia acidoclinata
- Nitzschia acula
- Nitzschia admissa
- Nitzschia aequorea
- Nitzschia agnewii
- Nitzschia agnita
- Nitzschia amabilis
- Nitzschia amphibia
- Nitzschia amphibioides
- Nitzschia archibaldii
- Nitzschia aurariae
- Nitzschia bergii
- Nitzschia bilobata
- Nitzschia bremensis
- Nitzschia brevissima
- Nitzschia bryophila
- Nitzschia capitellata
- Nitzschia clausii
- Nitzschia communis
- Nitzschia commutata
- Nitzschia costei
- Nitzschia dissipata
- Nitzschia draveillensis
- Nitzschia dubia
- Nitzschia dubiiformis
- Nitzschia elegantula
- Nitzschia elliptica
- Nitzschia elongata
- Nitzschia epithemoides
- Nitzschia fasciculata
- Nitzschia filiformis
- Nitzschia fonticola
- Nitzschia frequens
- Nitzschia frigida
- Nitzschia frustulum
- Nitzschia fruticosa
- Nitzschia gessneri
- Nitzschia gracilis
- Nitzschia grandis
- Nitzschia hantzschiana
- Nitzschia heufleriana
- Nitzschia holsatica
- Nitzschia hustedtiana
- Nitzschia hybrida
- Nitzschia inconspicua
- Nitzschia intermedia
- Nitzschia kuetzingiana
- Nitzschia lacunarum
- Nitzschia liebethruthii
- Nitzschia linearis
- Nitzschia longissima
- Nitzschia lorenziana
- Nitzschia macilenta
- Nitzschia martiana
- Nitzschia media
- Nitzschia microcephala
- Nitzschia nana
- Nitzschia obtusa
- Nitzschia palea
- Nitzschia paleacea
- Nitzschia paleaeformis
- Nitzschia perminuta
- Nitzschia pseudofonticola
- Nitzschia pumila
- Nitzschia pusilla
- Nitzschia recta
- Nitzschia retusa
- Nitzschia reversa
- Nitzschia rostellata
- Nitzschia salinicola
- Nitzschia scalpelliformis
- Nitzschia schwabei
- Nitzschia serpentiraphe
- Nitzschia sigma
- Nitzschia sigmaformis
- Nitzschia sigmoidea
- Nitzschia sinuata
- Nitzschia sociabilis
- Nitzschia solita
- Nitzschia soratensis
- Nitzschia spathulata
- Nitzschia subacicularis
- Nitzschia subcapitellata
- Nitzschia sublica
- Nitzschia sublinearis
- Nitzschia supralitorea
- Nitzschia tenuis
- Nitzschia terrestris
- Nitzschia thermalis
- Nitzschia tibetana
- Nitzschia tubicola
- Nitzschia umbonata
- Nitzschia valdecostata
- Nitzschia valdestriata
- Nitzschia valida
- Nitzschia ventricosa
- Nitzschia vermicularis
- Nitzschia vitrea































































































































































