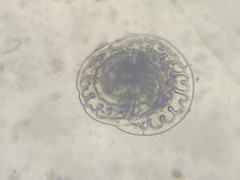
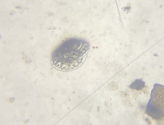
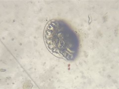
Patellina corrugata: taxon details and analytics
- Domain
- Kingdom
- Chromista
- Phylum
- Foraminifera
- Class
- Tubothalamea
- Order
- Spirillinida
- Family
- Spirillinidae
- Genus
- Patellina
- Species
- Patellina corrugata
- Scientific Name
- Patellina corrugata
Images from inaturalist.org observations:
We recommend you sign up for this excellent, free service.










