Pediastrum duplex: taxon details and analytics
- Domain
- Kingdom
- Plantae
- Phylum
- Chlorophyta
- Class
- Chlorophyceae
- Order
- Sphaeropleales
- Family
- Hydrodictyaceae
- Genus
- Pediastrum
- Species
- Pediastrum duplex
- Scientific Name
- Pediastrum duplex
Summary description from Wikipedia:
Pediastrum duplex
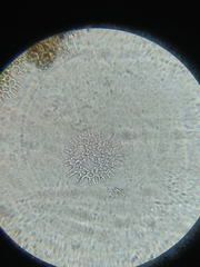
Pediastrum duplex is a species of fresh water green algae in the genus Pediastrum. It is the type species of the genus Pediastrum.
Pediastrum duplex forms nonmotile coenobia (colonies) with a fixed number of cells. These coenobia are flat and have a circular shape. The colonies usually contain 8 to 32 cells, with examples of 4, 64 or 128 occurring rarely. Colonies have holes between the cells; the holes are smaller in diameter than the cells. The cells are polygonal, distinctly rectangular in outline with concave sides. The outer cells of the coenobium have two triangular lobes that are longer than the cell body. At the tip of the lobes are very short rosettes that may also have fine bristles. The cell wall is usually smooth, but may sometimes have a distinct sculptured texture. It reproduces by forming autocolonies asexually, although sexual reproduction has also been observed.
Pediastrum duplex is a very common component of the freshwater phytoplankton, and has a cosmopolitan distribution. Because the cell wall is resistant to decay, the cell wall has been found in Holocene lake sediments.
...Images from inaturalist.org observations:
We recommend you sign up for this excellent, free service.































































































































































