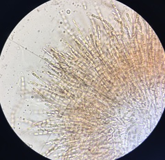
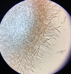
Phomatospora coprophila: taxon details and analytics
- Domain
- Kingdom
- Fungi
- Phylum
- Ascomycota
- Class
- Sordariomycetes
- Order
- Phomatosporales
- Family
- Phomatosporaceae
- Genus
- Phomatospora
- Species
- Phomatospora coprophila
- Scientific Name
- Phomatospora coprophila
Images from inaturalist.org observations:
We recommend you sign up for this excellent, free service.










