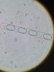
Pseudaleuria fibrillosa: taxon details and analytics
- Domain
- Kingdom
- Fungi
- Phylum
- Ascomycota
- Class
- Pezizomycetes
- Order
- Pezizales
- Family
- Pyronemataceae
- Genus
- Pseudaleuria
- Species
- Pseudaleuria fibrillosa
- Scientific Name
- Pseudaleuria fibrillosa
Summary description from Wikipedia:
Pseudaleuria fibrillosa
Pseudaleuria fibrillosa är en svampart som först beskrevs av George Edward Massee, och fick sitt nu gällande namn av J. Moravec 2003. Pseudaleuria fibrillosa ingår i släktet Pseudaleuria och familjen Pyronemataceae. Inga underarter finns listade i Catalogue of Life.
I den svenska databasen Dyntaxa används istället namnet Cheilymenia fibrillosa för samma taxon. Arten är reproducerande i Sverige.
...Images from inaturalist.org observations:
We recommend you sign up for this excellent, free service.




































