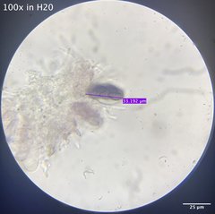
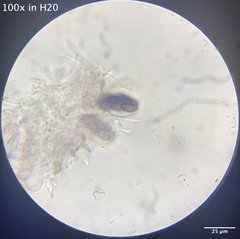
Saccobolus beckii: taxon details and analytics
- Domain
- Kingdom
- Fungi
- Phylum
- Ascomycota
- Class
- Pezizomycetes
- Order
- Pezizales
- Family
- Ascobolaceae
- Genus
- Saccobolus
- Species
- Saccobolus beckii
- Scientific Name
- Saccobolus beckii
Images from inaturalist.org observations:
We recommend you sign up for this excellent, free service.
Parent Taxon
Sibling Taxa
- Saccobolus beckii
- Saccobolus caesariatus
- Saccobolus citrinus
- Saccobolus depauperatus
- Saccobolus eleutherosporus
- Saccobolus glaber
- Saccobolus globuliferellus
- Saccobolus michiganensis
- Saccobolus minimoides
- Saccobolus minimus
- Saccobolus obscurus
- Saccobolus purpureus
- Saccobolus saccoboloides
- Saccobolus thaxteri
- Saccobolus truncatus
- Saccobolus verrucisporus
- Saccobolus versicolor











