Spirostomum: taxon details and analytics
- Domain
- Kingdom
- Chromista
- Phylum
- Ciliophora
- Class
- Heterotrichea
- Order
- Heterotrichida
- Family
- Spirostomidae
- Genus
- Spirostomum
- Species
- Scientific Name
- Spirostomum
Summary description from Wikipedia:
Spirostomum
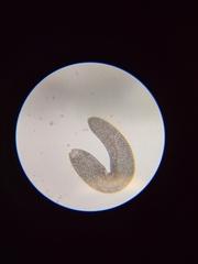
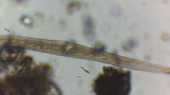
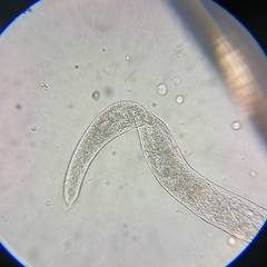
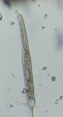
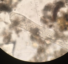
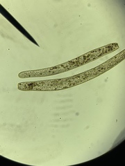
Spirostomum is a genus of ciliated protists in the class Heterotrichea. It is known for being very contractile. Having been first identified by Christian Gottfried Ehrenberg in 1834, further research has identified eight additional true morphospecies. This bacterivore genus mainly lives in the sediment deposits at the bottom of various aquatic habitats, and members possess rquA genes that could be responsible for their ability to survive in these hypoxic and anoxic environments. They are identifiable by their relatively (to other ciliates) large tubular/flat vermiform bodies. Their life cycle consists of a growth stage, in which they mature, and asexual and sexual reproduction stages. Some species are model organisms for studies on human pathogenic bacteria, while others are sensitive and accurate bioindicators for toxic substances.
...Images from inaturalist.org observations:
We recommend you sign up for this excellent, free service.































































































































































