Tribonema: taxon details and analytics
- Domain
- Kingdom
- Chromista
- Phylum
- Ochrophyta
- Class
- Xanthophyceae
- Order
- Tribonematales
- Family
- Tribonemataceae
- Genus
- Tribonema
- Species
- Scientific Name
- Tribonema
Summary description from Wikipedia:
Tribonema
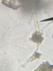
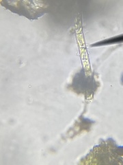
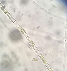
Tribonema is a genus of filamentous, freshwater yellow-green algae. The holotype for the genus is the species Tribonema bombycina (C.Agardh) Derbès & Solier.
Species recorded from Ireland include: Tribonema affine (G.S.West) G.S. West; T. minus (G.A. Klebs) Hazen and T. viride Pascher.
...Tribonema in languages:
- Swedish
- silkestrådar
Images from inaturalist.org observations:
We recommend you sign up for this excellent, free service.
































































































































