Trichia varia: taxon details and analytics
- Domain
- Kingdom
- Protozoa
- Phylum
- Mycetozoa
- Class
- Myxomycetes
- Order
- Trichiales
- Family
- Trichiaceae
- Genus
- Trichia
- Species
- Trichia varia
- Scientific Name
- Trichia varia
Summary description from Wikipedia:
Trichia varia
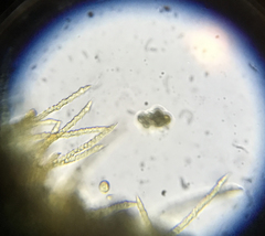
Trichia varia is a type of slime mold in the order Trichiida, first described by Johann Friedrich Gmelin in 1794. Its sporangium measures 0.6 to 0.9 millimeters, and its stalk 0.1 to 0.5 millimeters. It is a pale orange color, distinguished by other members of its genus by having two spiral bands on its elaters. It is distributed throughout various parts of the world.
...Trichia varia in languages:
- Bokmål
- ullkule
- Czech
- vlasatka okrová
- Danish
- Foranderlig hårbold
- Dutch
- Fopdraadwatje
- Finnish
- tuplanuoranen
- Lithuanian
- Įvairusis krekenis
- Polish
- kędziorek różnokształtny
- Russian
- Трихия изменчивая
- Swedish
- ullklot
Images from inaturalist.org observations:
We recommend you sign up for this excellent, free service.































































































































































