Trichuris vulpis: taxon details and analytics
- Domain
- Kingdom
- Animalia
- Phylum
- Nematoda
- Class
- Enoplea
- Order
- Trichinellida
- Family
- Trichuridae
- Genus
- Trichuris
- Species
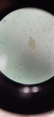
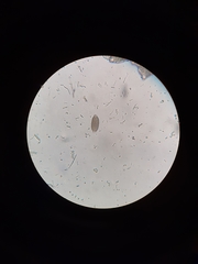
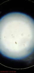
- Trichuris vulpis
- Scientific Name
- Trichuris vulpis
Trichuris vulpis in languages:
- Czech
- tenkohlavec liščí
Images from inaturalist.org observations:
We recommend you sign up for this excellent, free service.










