Trypanosoma: taxon details and analytics
- Domain
- Kingdom
- Protozoa
- Phylum
- Euglenozoa
- Class
- Kinetoplastea
- Order
- Trypanosomatida
- Family
- Trypanosomatidae
- Genus
- Trypanosoma
- Species
- Scientific Name
- Trypanosoma
Summary description from Wikipedia:
Trypanosoma
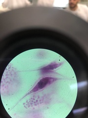
Trypanosoma is a genus of kinetoplastids (class Trypanosomatidae), a monophyletic group of unicellular parasitic flagellate protozoa. Trypanosoma is part of the phylum Euglenozoa. The name is derived from the Ancient Greek trypano- (borer) and soma (body) because of their corkscrew-like motion. Most trypanosomes are heteroxenous (requiring more than one obligatory host to complete life cycle) and most are transmitted via a vector. The majority of species are transmitted by blood-feeding invertebrates, but there are different mechanisms among the varying species. Trypanosoma equiperdum is spread between horses and other equine species by sexual contact. They are generally found in the intestine of their invertebrate host, but normally occupy the bloodstream or an intracellular environment in the vertebrate host.
Trypanosomes infect a variety of hosts and cause various diseases, including the fatal human diseases sleeping sickness, caused by Trypanosoma brucei, and Chagas disease, caused by Trypanosoma cruzi.
The mitochondrial genome of the Trypanosoma, as well as of other kinetoplastids, known as the kinetoplast, is made up of a highly complex series of catenated circles and minicircles and requires a cohort of proteins for organisation during cell division.
...Trypanosoma in languages:
- Czech
- trypanozóma
- English
- Trypanosomes
- English
- Sleeping-sickness
- English
- Trypanosomiasis
- English
- Nagana
Images from inaturalist.org observations:
We recommend you sign up for this excellent, free service.







