Vampyrellidae: taxon details and analytics
- Domain
- Kingdom
- Chromista
- Phylum
- Cercozoa
- Class
- Vampyrellidea
- Order
- Vampyrellida
- Family
- Vampyrellidae
- Genus
- Species
- Scientific Name
- Vampyrellidae
Summary description from Wikipedia:
Vampyrellidae
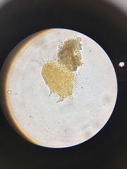
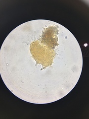
The family Vampyrellidae is a subgroup of the order Vampyrellida (or Aconchulinida) within the supergroup Rhizaria. Based on molecular sequence data, the family currently comprises the genus Vampyrella, and maybe several other vampyrellid amoebae (e.g. Gobiella). The cells are naked and characterised by radiating, filose pseudopodia (also referred to as filopodia) and an orange colouration of the main cell body.
In former times the family Vampyrellidae contained several genera (e.g. Vampyrella, Gobiella, Leptophrys, Platyreta, Theratromyxa) and was identical with the order Vampyrellida, also known under the name "Aconchulinida". However, based on molecular sequence data the family Vampyrellidae was restricted to a subgroup containing only the genus Vampyrella, and a different family Leptophryidae was established for the genera Leptophrys, Platyreta and Theratromyxa.
...Vampyrellidae in languages:
- English
- Vampire Amoebae
Images from inaturalist.org observations:
We recommend you sign up for this excellent, free service.


































