Vorticella campanula: taxon details and analytics
- Domain
- Kingdom
- Chromista
- Phylum
- Ciliophora
- Class
- Oligohymenophorea
- Order
- Sessilida
- Family
- Vorticellidae
- Genus
- Vorticella
- Species
- Vorticella campanula
- Scientific Name
- Vorticella campanula
Summary description from Wikipedia:
Vorticella campanula
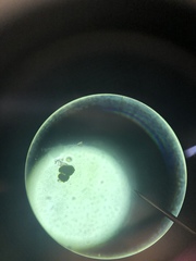
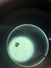
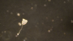
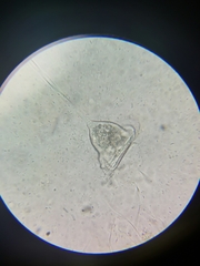
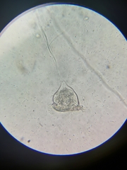
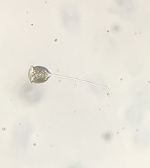
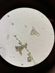
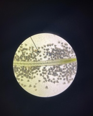
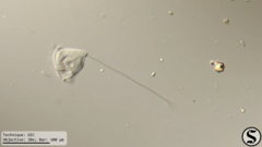
The protozoon Vorticella campanula is found in freshwater ponds, lakes, rivers, and streams with aquatic vegetation. It has a global distribution. Vorticella campanula is solitary and not colonial but usually social, several of them being found together. Vorticella campanula is a sedentary (fixed) form. It is commonly attached by a long highly contractile stalk to some submerged objects like weeds, animals, or stones. Vorticella campanula is often found in large groups. All the individuals in the group, however, remain free and independent of each other. Most Vorticella are found in abundance in stagnant water rich in decaying organic matter and feed largely on bacteria, but Vorticella campanula live only in uncontaminated water where bacterial growth is poor.
...Vorticella campanula in languages:
- French
- Vorticelle
Images from inaturalist.org observations:
We recommend you sign up for this excellent, free service.
Parent Taxon
Sibling Taxa
- Vorticella abbreviata
- Vorticella bosminae
- Vorticella campanula
- Vorticella chlorellata
- Vorticella chlorostigma
- Vorticella citrina
- Vorticella communis
- Vorticella convallaria
- Vorticella floridensis
- Vorticella gracilis
- Vorticella infusionum
- Vorticella limnetis
- Vorticella marina
- Vorticella nebulifera
- Vorticella octava-komplex
- Vorticella similis
- Vorticella sphaerica
- Vorticella striata
- Vorticella submicrostoma
- Vorticella subsphaerica
- Vorticella utriculus































































































































































