Lyngbya: taxon details and analytics
- Domain
- Kingdom
- Bacteria
- Phylum
- Cyanobacteria
- Class
- Cyanophyceae
- Order
- Oscillatoriales
- Family
- Oscillatoriaceae
- Genus
- Lyngbya
- Species
- Scientific Name
- Lyngbya
Summary description from Wikipedia:
Lyngbya
Lyngbya is a genus of cyanobacteria, unicellular autotrophs that form the basis of the oceanic food chain.
As a result of recent genetic analyses, several new genera were erected from this genus: e.g., Moorea, Limnoraphis, Okeania, Microseira, and Dapis.
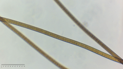
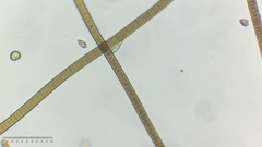
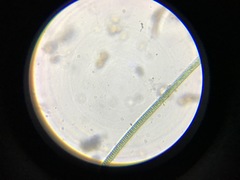
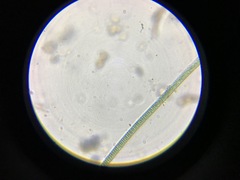
Lyngbya species form long, unbranching filaments inside a rigid mucilaginous sheath. Sheaths may form tangles or mats, intermixed with other phytoplankton species. They reproduce asexually. Their filaments break apart and each cell forms a new filament. The mats grow around atolls, salt marshes, or fresh water.
Some Lyngbya species cause the human skin irritation called seaweed dermatitis.
Some Lyngbya species can also temporarily monopolize aquatic ecosystems when they form dense, floating mats in the water.
Ingestion of Lyngbya is potentially lethal. Most commonly, poisoning is caused by eating fish which have fed on Lyngbya or which have fed on other fish which have consumed Lyngbya. This is called "ciguatera-like" poisoning.
...Lyngbya in languages:
- Chinese
- 鞘絲藻屬
Images from inaturalist.org observations:
We recommend you sign up for this excellent, free service.
Parent Taxon
Child Taxa
- Lyngbya aerugineo-coerulea
- Lyngbya aestuarii
- Lyngbya bipunctata
- Lyngbya birgei
- Lyngbya borgertii
- Lyngbya coactilis
- Lyngbya confervoides
- Lyngbya connectens
- Lyngbya crassa
- Lyngbya cryptovaginata
- Lyngbya digueti
- Lyngbya gracilis
- Lyngbya heironymusii
- Lyngbya hieronymusii
- Lyngbya kuetzingii
- Lyngbya lagerheimia
- Lyngbya lagerheimii
- Lyngbya laxespiralis
- Lyngbya lutea
- Lyngbya major
- Lyngbya majuscula
- Lyngbya muscicola
- Lyngbya natans
- Lyngbya nigra
- Lyngbya nordgaardii
- Lyngbya palmarum
- Lyngbya patrickiana
- Lyngbya punctalis
- Lyngbya purpurea
- Lyngbya rivulariarum
- Lyngbya semiplena
- Lyngbya spiralis
- Lyngbya spirulinoides
- Lyngbya taylorii
- Lyngbya truncicola
- Lyngbya wollei































































































































































