Oscillatoria: taxon details and analytics
- Domain
- Kingdom
- Bacteria
- Phylum
- Cyanobacteria
- Class
- Cyanophyceae
- Order
- Oscillatoriales
- Family
- Oscillatoriaceae
- Genus
- Oscillatoria
- Species
- Scientific Name
- Oscillatoria
Summary description from Wikipedia:
Oscillatoria
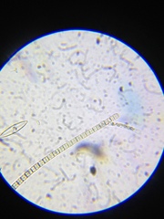
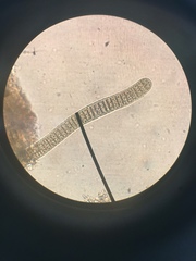
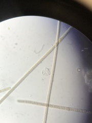
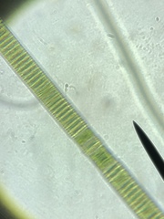
Oscillatoria is a genus of filamentous cyanobacteria. It is often found in freshwater environments. Its name refers to the oscillating motion of its filaments as they slide against each other to position the colony to face a light source. Oscillatoria uses photosynthesis to survive and reproduce. Each filament of Oscillatoria consists of a row of cells called a trichome. The tip of the trichome oscillates like a pendulum.
Reproduction takes place asexually by fragmentation. Usually the filament breaks into a number of fragments called hormogonia. Each hormogonium consist of one or more cells and grows into a filament by cell division in one direction. Hormogonia has capacity for locomotion.
As a result of recent genetic analyses, several new genera were erected from this genus, e.g. Tenebriella.
...Oscillatoria in languages:
- Chinese
- 顫藻屬
- Japanese
- ユレモ属
- Russian
- Осциллатория
Images from inaturalist.org observations:
We recommend you sign up for this excellent, free service.
Parent Taxon
Child Taxa
- Oscillatoria acuminata
- Oscillatoria acus
- Oscillatoria acutissima
- Oscillatoria anguina
- Oscillatoria angusta
- Oscillatoria annae
- Oscillatoria articulata
- Oscillatoria borneti
- Oscillatoria boryana
- Oscillatoria bourrellyi
- Oscillatoria breviarticulata
- Oscillatoria circinata
- Oscillatoria cortiana
- Oscillatoria curviceps
- Oscillatoria decolorata
- Oscillatoria granulata
- Oscillatoria guttulata
- Oscillatoria hamelii
- Oscillatoria jasorvensis
- Oscillatoria laete-virens
- Oscillatoria leavittae
- Oscillatoria limosa
- Oscillatoria major
- Oscillatoria margaritifera
- Oscillatoria miniata
- Oscillatoria minima
- Oscillatoria mougeotii
- Oscillatoria nigro-viridis
- Oscillatoria obscura
- Oscillatoria obtusa
- Oscillatoria okeni
- Oscillatoria planctonica
- Oscillatoria princeps
- Oscillatoria proboscidea
- Oscillatoria proteus
- Oscillatoria quadripunctulata
- Oscillatoria raoi
- Oscillatoria redekei
- Oscillatoria refringens
- Oscillatoria sancta
- Oscillatoria simplicissima
- Oscillatoria splendida
- Oscillatoria subbrevis
- Oscillatoria subformosa
- Oscillatoria subuliformis
- Oscillatoria vizagapatensis





























































































































































