Paramecium: taxon details and analytics
- Domain
- Kingdom
- Chromista
- Phylum
- Ciliophora
- Class
- Oligohymenophorea
- Order
- Peniculida
- Family
- Parameciidae
- Genus
- Paramecium
- Species
- Scientific Name
- Paramecium
Summary description from Wikipedia:
Paramecium
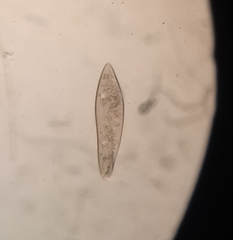
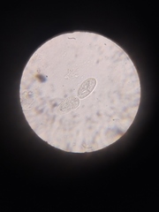
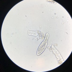
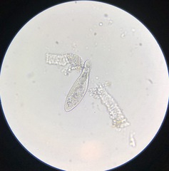
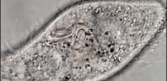
Paramecium ( PARR-ə-MEE-s(ee-)əm, -see-əm, plural "paramecia" only when used as a vernacular name) is a genus of eukaryotic, unicellular ciliates, widespread in freshwater, brackish, and marine environments. Paramecia are often abundant in stagnant basins and ponds. Because some species are readily cultivated and easily induced to conjugate and divide, they have been widely used in classrooms and laboratories to study biological processes. Paramecium species are commonly studied as model organisms of the ciliate group and have been characterized as the "white rats" of the phylum Ciliophora.
...Paramecium in languages:
- Afrikaans
- Pantoffeldiertjie
- Chinese
- 綠草履蟲屬
- English
- Paramecium
- English
- paramecia
- French
- Paramécie
- German
- Pantoffeltierchen
- Japanese
- ゾウリムシ属
- Korean
- 짚신벌레속
- Polish
- Pantofelki
- Russian
- Парамеции
- Swedish
- Toffeldjur
Images from inaturalist.org observations:
We recommend you sign up for this excellent, free service.































































































































































