Paramecium bursaria: taxon details and analytics
- Domain
- Kingdom
- Chromista
- Phylum
- Ciliophora
- Class
- Oligohymenophorea
- Order
- Peniculida
- Family
- Parameciidae
- Genus
- Paramecium
- Species
- Paramecium bursaria
- Scientific Name
- Paramecium bursaria
Summary description from Wikipedia:
Paramecium bursaria
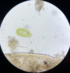
Paramecium bursaria is a species of ciliate found in marine and brackish waters. It has a mutualistic endosymbiotic relationship with green algae called Zoochlorella. About 700 Chlorella cells live inside the protist's cytoplasm and provide it with food, while the Paramecium provides the algae with movement and protection. P. bursaria is 80–150 μm long, with a wide oral groove, two contractile vacuoles, and a single micronucleus as well as a single macronucleus. P. bursaria is the only species of Paramecium that forms symbiotic relationships with algae, and it is often used in biology classrooms both as an example of a protozoan and also as an example of symbiosis.
A transcriptome sequence is determined.
...Paramecium bursaria in languages:
- Czech
- trepka zelená
Images from inaturalist.org observations:
We recommend you sign up for this excellent, free service.































































































































































