Preussia fleischhakii: taxon details and analytics
- Domain
- Kingdom
- Fungi
- Phylum
- Ascomycota
- Class
- Dothideomycetes
- Order
- Pleosporales
- Family
- Sporormiaceae
- Genus
- Preussia
- Species
- Preussia fleischhakii
- Scientific Name
- Preussia fleischhakii
Summary description from Wikipedia:
Preussia fleischhakii
Preussia fleischhakii är en svampart som först beskrevs av Bernhard Auerswald, och fick sitt nu gällande namn av Cain 1961. Preussia fleischhakii ingår i släktet Preussia och familjen Sporormiaceae. Inga underarter finns listade i Catalogue of Life.
I den svenska databasen Dyntaxa används istället namnet Preussia vulgaris för samma taxon. Arten är reproducerande i Sverige.
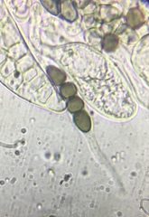
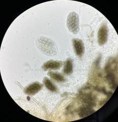
...Images from inaturalist.org observations:
We recommend you sign up for this excellent, free service.





















