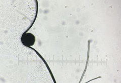
Preussia isomera: taxon details and analytics
- Domain
- Kingdom
- Fungi
- Phylum
- Ascomycota
- Class
- Dothideomycetes
- Order
- Pleosporales
- Family
- Sporormiaceae
- Genus
- Preussia
- Species
- Preussia isomera
- Scientific Name
- Preussia isomera
Images from inaturalist.org observations:
We recommend you sign up for this excellent, free service.












